PDX Model DetailsTM01517

Request information on the availability of this model.

PDX Model Summary

Model Details

Model ID (Previous ID)
TM01517 (TM01517F)
Initial Diagnosis
Adenocarcinoma
Final Diagnosis
Adenocarcinoma
Stage/Grade
AJCC IV /
Primary Site
Rectum
Sample Site
Liver
Tumor Type
Metastatic

Patient

Sex
Male
Age (at time of tissue collection)
45
Race/Ethnicity
Not Reported / Not Reported
Treatment Naïve?
No
Current Smoker/Former Smoker
Unknown / Unknown

Engraftment

Host Strain
NOD.Cg-Prkdcscid Il2rgtm1Wjl/SzJ
(aka NSG or NOD Scid gamma)
Sample Type
Surgical resection (fragment)
Engraftment Site
Right Flank

Molecular Data (Engrafted Tumor)

Variants

Gene Expression

Platforms: RNA_Seq

Hatched bars indicate genes with expression levels determined to be mildly affected by alignment calculations. Details.

Gene CNV

CNV Plots

Tumor Mutation Burden

Sample TM01517F76P0 from passage P0 has a TMB score of 4.85
Sample TM01517F79P0 from passage P0 has a TMB score of 5.66
TMB Range
0.0-304.42 (across all JAX PDX models; TMB > 22 is considered high)

Microsatellite Instability

Sample:TM01517F76P0 from passage P0     Score:MSI-S
Sample:TM01517F79P0 from passage P0     Score:MSI-S

Gene Fusion

Fusion Genes
Sample TM01517F76P0 has fusion genes GOLT1A--KISS1, PDXDC1--NPIPB14P, PKD1--NPIPP1, PTGES3L--AARSD1, AC138409.2--AP000346.2, SYS1--DBNDD2, NOS1AP--C1orf226, SMURF2P1--LRRC37B, POLR2J2--AC004951.2, AC017074.1--ACRP1, ZFP91--KRT9, ZNF738--AC010615.1, LINC01169--SMAD6, CHD2--SLCO3A1, BOLA2B--SMG1, PCDHGB2--PCDHGA12, LAMC2--AL354953.1, MACC1--AC005062.1, AP000347.1--ASLP1, KANSL1--ARL17A, CCL15--CCL14, SEPTIN7P14--PSPH, CLN6--CALML4, AIG1--AL136116.3, KRCC1--WBP1P2, AC103702.2--HOXB9, UPK3B--PMS2P9, ARPC4--TTLL3, STX16--NPEPL1
Sample TM01517F79P0 has fusion genes GOLT1A--KISS1, LAMC2--AL354953.1, PDXDC1--NPIPB14P, PKD1--NPIPP1, PTGES3L--AARSD1, POLR2J2--UPK3BL1, RBM14--RBM4B, AC138207.8--LRRC37BP1, CMTM4--AC010542.5, NOS1AP--C1orf226, KANSL1--ARL17A, BOLA2B--SMG1P2, CCL15--CCL14, AC017074.1--ACRP1, SEPTIN7P14--PSPH, LINC01169--SMAD6, CHD2--SLCO3A1, PCDHGB2--PCDHGA12, SLC29A1--HSP90AB3P, AC103702.2--HOXB9, ARPC4--TTLL3, STX16--NPEPL1

Model Characterization

Histology

Summary:
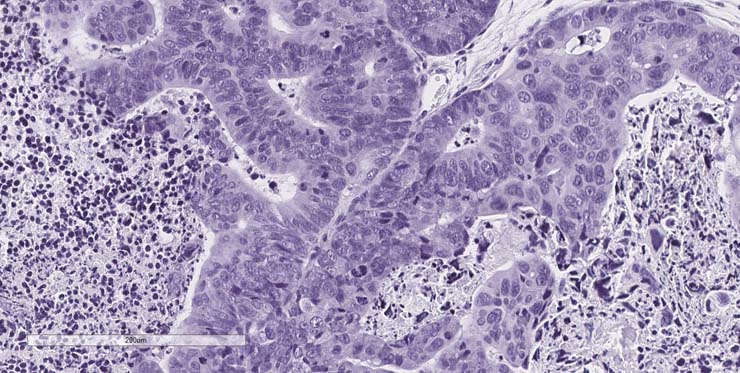
P1 tumor pathology consistent with adenocarcinoma, mostly consistent with colonic.
Pathologist:
Dr. Regina Gandour-Edwards, University of California, Davis

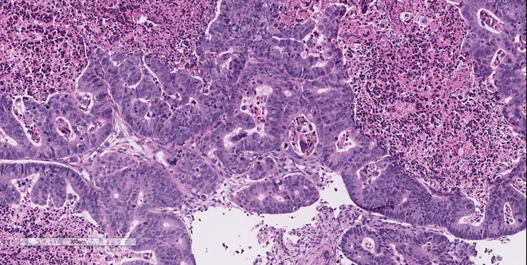
P1 tumor F076 ID274 for PDX model TM01517 stained for H&E.

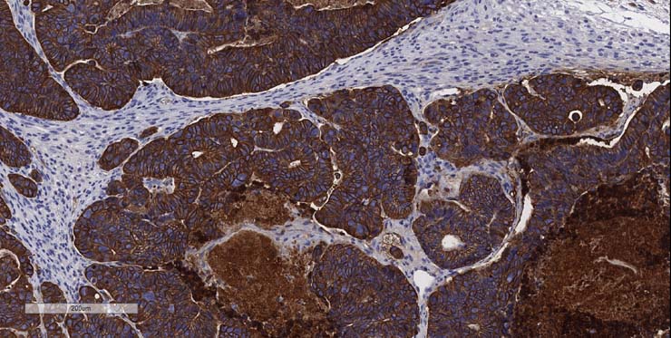
P1 tumor F076 ID274 for PDX model TM01517 stained for AE1AE3. Staining was positive.

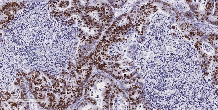
P1 tumor F076 ID274 for PDX model TM01517 stained for CD45. Staining was negative.

P1 tumor F076 ID274 for PDX model TM01517 stained for AE1AE3. Staining was positive.

Dosing Studies

no data

Circos Plots

no data