Advanced Search
Other Resources
Antibody Staining Report
Lymphoma Pathology Report
MMHCdb Video Tutorial
Searches/Tools
Tumor Frequency Grid (inbred strains)
Patient Derived Xenograft (PDX) Search
PDX Like Me
CancerModels.org
cBioPortal for PDX
PDX STR Profiler
About
About Us
Publications
Help
News & Events
This repository is under review for potential modification in compliance with Administration directives.
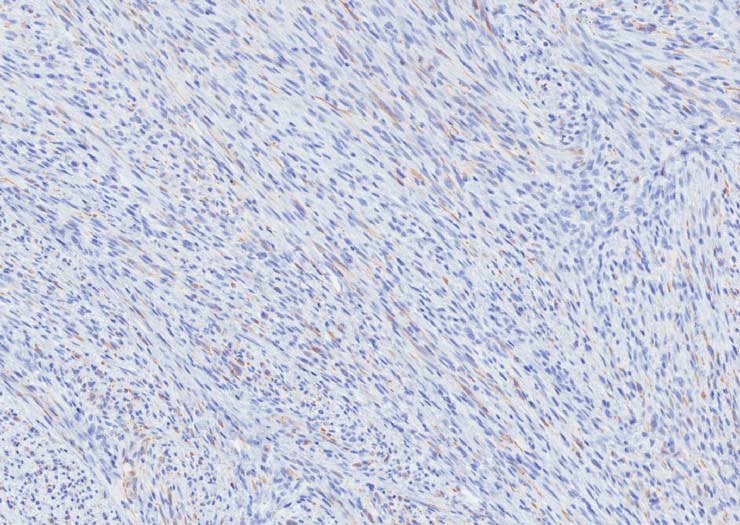
PDX Image Detail
Description
P0 tumor #002 for PDX model TM00065; GFAP marker